03-5799-6487 どうぞお気軽にご相談ください

WEB予約

Instagram

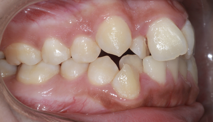
デコボコ(叢生)

デコボコ(叢生)

デコボコ(叢生)

デコボコ(叢生)の原因

あごの大きさと1つひとつの歯の大きさのバランスがとれていないと、あごの骨の中に全ての歯がおさまりません。このようにして乱杭歯(歯並びのガタガタ=叢生)が起きます。

デコボコ(叢生)を矯正する際の
矯正方法について

叢生の程度が軽度ならば歯を抜く必要はありませんが、叢生の程度によってはいずれかの歯を抜いてスペースを確保しないと歯並びと咬み合わせが改善できない場合があります。

症例

case.1 叢生症例

抜歯ケース
  • before

    症例
  • after

    症例
        
初診時年齢 14歳5ヶ月
主訴 八重歯が気になる、
歯ならびをきれいにしたい。
治療期間 2年(24回の通院)
治療費 約90万
(税込み・保定観察料も含む)
治療内容 歯ならびと咬み合わせを改善させるために、上下計4本の小臼歯を抜歯し、歯の表側にメタルブラケット装置をつけて治療を行いました。
治療のリスク ※治療上のリスクとして歯肉退縮、顎関節症、歯根吸収、カリエス、失活歯、根の露出、骨隆起、歯周病があります。また、治療には個人差があります。あくまでご参考とお考え下さい。

case.2 叢生

抜歯ケース
  • before

    症例
  • after

    症例
初診時年齢 22歳3ヶ月
主訴 歯ならびが悪い、よく咬めない。
治療期間 2年(24回の通院)
治療費 約90万
(税込み・保定観察料も含む)
治療内容 歯ならびと咬み合わせを改善させるために、上下計4本の小臼歯を抜歯し、歯の表側にメタルブラケット装置をつけて治療を行いました。
治療のリスク ※治療上のリスクとして歯肉退縮、顎関節症、歯根吸収、カリエス、失活歯、根の露出、骨隆起、歯周病があります。また、治療には個人差があります。あくまでご参考とお考え下さい。

case.3 叢生

抜歯ケース
  • before

    症例
  • after

    症例
      
初診時年齢 24歳3ヶ月
主訴 歯ならびが悪く虫歯になりやすい。
咬み合わせが悪い。
治療期間 2年半〜3年(約30回の通院)
治療費 約110万
(税込み・保定観察料も含む)
治療内容 上下計4本の小臼歯を抜歯して、歯の表側に審美ブラケット装置をつけて治療を行いました。歯列が整うにつれて隠れていた虫歯が明確になり、矯正治療と並行して虫歯治療を行いました。
矯正治療中に予防歯科処置を行ったことで、虫歯の発生を防ぐことができました。
治療のリスク 虫歯になりやすい体質の方には、
唾液検査や予防歯科処置
(クリーニングやフッ素塗布、ブラッシング指導など)を矯正治療と並行する必要があります。

case.4 叢生

抜歯ケース
  • before

    症例
  • after

    症例
  • before

    症例
  • after

    症例
  • before

    症例
  • after

    症例
    
初診時年齢 26歳1ヶ月
主訴 歯ならびが悪く、ものがよく咬めない。
治療期間 2年〜2年半(約30回の通院)
治療費 110万
(税込み・保定観察料も含む)
治療内容 歯ならびと咬み合わせを治すために上下計4本の小臼歯を抜歯して、
歯の表側に審美ブラケット装置をつけて治療を行いました。
治療のリスク ※治療上のリスクとして歯肉退縮、顎関節症、歯根吸収、カリエス、失活歯、根の露出、骨隆起、歯周病があります。また、治療には個人差があります。あくまでご参考とお考え下さい。

case.5 叢生・過蓋咬合・上顎前突:抜歯

抜歯ケース
  • before

    症例
  • after

    症例
  • before

    症例
  • after

    症例
        
初診時年齢 17歳2ヶ月
主訴 歯ならびをきれいにしたい、
上の前歯がでている。
治療期間 1年半〜2年(約24回の通院)
治療費 約130万
(税込み・保定観察料も含む)
治療内容 前歯の咬み合わせの深さも深く下の前歯が見えない状態で、歯ぎしりもしていたので、一部の歯がすり減っていました。
矯正装置は舌側ブラケット装置(ハーフリンガル)を使用し上の歯は裏側・下の歯は表側につけて上の歯だけ計2本の小臼歯を抜歯して治療しました。
すり減った前歯は矯正治療後に形を整えるために再修復する事になりました。
治療のリスク ※治療上のリスクとして歯肉退縮、顎関節症、歯根吸収、カリエス、失活歯、根の露出、骨隆起、歯周病があります。また、治療には個人差があります。あくまでご参考とお考え下さい。

case.6 叢生・交叉咬合(Ⅰ期)

  • before

    症例
  • after

    症例
初診時年齢 8歳5ヶ月
主訴 歯ならびが悪く永久歯がはえるスペースが足りない。
前歯の真ん中の線が上下でずれていて奥歯の咬み合わせも悪い。
治療期間 1年(12回の通院)
治療費 約35万
(税込み・Ⅰ期矯正治療費)
治療内容 上の歯列がせまく、咬み合わせまで横ずれが生じていました。
上の歯だけに審美ブラケット装置を装着して歯列を拡げながら歯ならびや咬み合わせを改善させました。
治療後、定期的に経過観察をおこなったことでⅡ期矯正治療(全ての永久歯がはえた後での再治療)は必要なくなりました。
治療のリスク 矯正中は虫歯にならないように予防歯科処置(クリーニングやフッ素塗布、ブラッシング指導など)が必要です。
その他、顎関節症、歯根吸収、失活歯、根の露出、歯周病などのリスクがあります。また、治療には個人差があります。あくまでご参考とお考え下さい。

case.7 叢生・上顎前突:非抜歯

  • before

    症例 症例
  • after

    症例 症例
初診時年齢 26歳7ヶ月
主訴 下の歯の歯ならびが悪い、
上の歯が前に出ている。
治療期間 1年〜1年半(約18回の通院)
治療費 約90万
(税込み・保定観察料も含む)
治療内容 非抜歯で歯ならびと出ている前歯を後ろにさげて治療を行いました。
ハイブリット矯正(上の歯はマウスピース型矯正装置・下の歯は表側に矯正装置を装着)で治療を行いました。
治療のリスク マウスピース型矯正装置は使用状況によって治療結果に差が生じたり、治療期間が延びる可能性があります。
その他、歯肉退縮、顎関節症、歯根吸収などのリスクがあります。また、治療には個人差があります。あくまでご参考とお考え下さい。
  • デコボコ

    デコボコ

  • 出っ歯

    出っ歯

  • すきっ歯

    すきっ歯

  • 受け口

    受け口

  • 口が閉じない

    口が閉じない

  • 上下顎前突

    上下顎前突

  • 交叉咬合

    交叉咬合

  • 深い噛み合わせ

    深い噛み合わせ