出っ歯(上顎前突)
出っ歯(上顎前突)
出っ歯(上顎前突)の原因
- 上あごの骨が大きい、下あごが小さいなどあごの骨に原因がある場合
- あごの骨に問題はなくても骨からはえている前歯の位置や角度に問題があって
歯だけが前に出ている場合 - 歯だけが前に出ている場合
- 指しゃぶりなどの習癖が原因の場合
- 上記が合併している場合
出っ歯(上顎前突)を矯正する際の
矯正方法について
上顎前突(出っ歯)では小児・成人ともに出っ歯になってしまっている原因を突き止めて原因に対する解決方法を施していきます。Ⅱ期矯正治療や成人の方のケースでも場合によって非抜歯で治療を行うことも可能性です。
しかし、あごの骨のバランスがとれていないケースや歯並びの乱れの程度、顔や口元のバランスも含めて全体的な調和を理想とする場合は歯の抜歯を行って治療を施します。
また、上下のあごの骨のバランスが極端にとれていない場合などは外科的な矯正治療が治療の選択肢に上がるケースもあります。
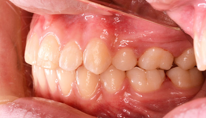
症例
case.1 上顎前突
抜歯ケース
治療前:
歯を抜いてから治療を開始します。
治療中:
歯を抜いたスペースを利用して前歯を後ろに下げています。
治療後:
上顎前突(出っ歯)がきれいに改善されており、咬み合わせもよくなりました。
-
before
-
after
| 初診時年齢 | 17歳2ヶ月 |
|---|---|
| 主訴 | 上の前歯が出ている、 奥歯もよく咬めない。 |
| 治療期間 | 2年〜2年半(約30回の通院) |
| 治療費 | 約110万 (税込み・保定観察料も含む) |
| 治療内容 | 前歯だけではなく一番後ろの奥歯も上下の歯がすれ違って咬めていない状態でした。上下計4本の小臼歯を抜歯して歯の表側に審美ブラケット装置をつけて治療を行いました。過去に上の前歯をぶつけて歯の一部を折った経験があり、慎重に前歯を動かす必要がありました。 |
| 治療のリスク | まれに前歯の歯根吸収や歯の骨性癒着(外傷によって歯と骨がくっついてしまい歯が動かないこと)が見受けられることがあります。 |
case.2 上顎前突・過蓋咬合
抜歯ケース
治療前:
歯を抜いてから治療を開始します。
治療中:
歯を抜いたスペースを利用して前歯を後ろに下げています。
治療後:
上顎前突(出っ歯)がきれいに改善されており、咬み合わせもよくなりました。
-
before
-
after
| 初診時年齢 | 13歳6ヶ月 |
|---|---|
| 主訴 | 歯ならびが悪く上の前歯がでている。 前歯でものが咬めない。 |
| 治療期間 | 1年〜1年半 (Ⅱ期矯正治療の通院回数 約18回) |
| 治療費 | 約100万 (税込み・保定観察料も含む) |
| 治療内容 |
もともと重度の上顎前突でⅠ期矯正治療を行っています。 I期治療で歯列の矯正や顎骨成長のコントロールを行った事でⅡ期矯正治療では最小限の抜歯(上の両側小臼歯計2本)で済み、治療期間も短縮させることができました。Ⅰ期・Ⅱ期治療ともに歯の表側にメタルブラケット装置を使用して治療を行いました。 |
| 治療のリスク | ※治療上のリスクとして歯肉退縮、顎関節症、歯根吸収、カリエス、失活歯、根の露出、骨隆起、歯周病があります。また、治療には個人差があります。あくまでご参考とお考え下さい。 |
case.3 上顎前突・叢生:非抜歯
-
before
-
after
| 初診時年齢 | 26歳7ヶ月 |
|---|---|
| 主訴 | 下の歯の歯ならびが悪い、 上の歯が前に出ている。 |
| 治療期間 | 1年〜1年半(約18回の通院) |
| 治療費 | 約90万 (税込み・保定観察料も含む) |
| 治療内容 |
非抜歯で歯ならびと出ている前歯を後ろにさげて治療を行いました。 上の歯はマウスピース型矯正装置・下の歯は表側に審美ブラケット装置を使用して治療を行いました。 |
| 治療のリスク |
マウスピース型矯正装置は使用状況によって治療結果に差が生じたり、治療期間が延びる可能性があります。 その他、歯肉退縮、顎関節症、歯根吸収などのリスクがあります。また、治療には個人差があります。あくまでご参考とお考え下さい。 |
case.4 上顎前突・叢生・過蓋咬合:抜歯
抜歯ケース
-
before
-
after
| 初診時年齢 | 17歳2ヶ月 |
|---|---|
| 主訴 | 歯ならびをきれいにしたい、 上の前歯がでている。 |
| 治療期間 | 1年半〜2年(約24回の通院) |
| 治療費 | 約130万 (税込み・保定観察料も含む) |
| 治療内容 |
前歯の咬み合わせの深さも深く下の前歯が見えない状態で、歯ぎしりもしていたので、一部の歯がすり減っていました。 矯正装置は舌側ブラケット装置(ハーフリンガル)を使用し上の歯は裏側・下の歯は表側につけて上の歯だけ計2本の小臼歯を抜歯して治療しました。 すり減った前歯は矯正治療後に形を整えるために再修復する事になりました。 |
| 治療のリスク | ※治療上のリスクとして歯肉退縮、顎関節症、歯根吸収、カリエス、失活歯、根の露出、骨隆起、歯周病があります。また、治療には個人差があります。あくまでご参考とお考え下さい。 |
