受け口(反対咬合)
受け口(反対咬合)
受け口(反対咬合)の原因
- 骨格的な問題(上あごが小さい・下あごが大きい)
- あごの骨からはえている歯の位置や角度に問題がある場合
- 指しゃぶりなどの習癖が原因の場合
- 上記が合併している場合
受け口(反対咬合)を矯正する際の
矯正方法について
反対咬合は乳歯の前歯が永久歯に生え変わる時以外、自然に改善することはほとんどありません。永久歯の前歯に生え変わった時に反対咬合になってしまった場合、時間の経過とともに下顎前突(反対咬合)が重症化したり、下の前歯に負担がかかって前歯や歯茎に炎症を起こしたりする可能性があります。反対咬合(受け口)はⅠ期矯正治療で改善しておくべき咬み合わせです。
Ⅱ期矯正治療や成人の方でも反対咬合の改善は可能です。原因をしっかり突き止めて原因に対する改善方法を施していきます。場合によっては非抜歯で治療を行うことも可能性です。しかし、あごの骨のバランスがとれていないケースや歯並びの乱れの程度、顎関節症の合併の有無などによってその方に合った治療手順と方法をとる必要があります。また、あごの骨のバランスが極端にとれていない場合などは外科的な治療が必要なケースもあります。
症例
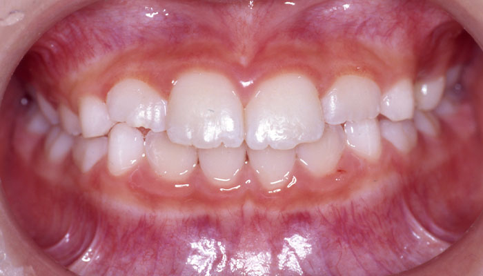
case.1 反対咬合(I期)
Ⅰ期矯正治療
治療前:
上下の歯にブラケット装置を装着してワイヤーの力を使って歯を移動します。
治療中:
上の前歯は前方へ、下の前歯は後方へ移動させています。
治療後:
反対咬合がきれいになり、歯並びも改善されました。この後永久歯がきれいに生え変わり、Ⅱ期矯正治療自体(全体的な永久歯の矯正治療)が必要なくなりました。
-
before
-
after
| 初診時年齢 | 7歳8ヶ月 |
|---|---|
| 主訴 | 前歯の咬み合わせが反対 |
| 治療期間 | 1年(12回の通院) |
| 治療費 | 約35万 (税込み・Ⅰ期矯正治療費) |
| 治療内容 | 上下の歯にメタルブラケット装置を装着して歯列を拡げながら前歯の咬み合わせを改善させました。治療後、永久歯がはえそろうまで定期的に経過観察をおこなったことで永久歯は全てきれいにはえそろいました。 |
| 治療のリスク |
矯正治療中は虫歯にならないように予防歯科処置(クリーニングやフッ素塗布、ブラッシング指導など)が必要です。 その他、歯根吸収、失活歯、根の露出、歯周病などのリスクがあります。また、治療には個人差があります。あくまでご参考とお考え下さい。 |
case.2 反対咬合:非抜歯
-
before
-
after
| 初診時年齢 | 18歳9ヶ月 |
|---|---|
| 主訴 | 前歯の咬み合わせが反対、 食べ物がよく咬めない。 |
| 治療期間 | 2年(24回の通院) |
| 治療費 | 約90万 (税込み・保定観察料も含む) |
| 治療内容 | 前歯の咬み込みの深さが深く、しゃべったり笑った時にも上の歯が全く見えない状態でした。検査の結果、非抜歯での治療が可能と判断したので歯の表側にメタルブラケット装置をつけて非抜歯で治療を行いました。 |
| 治療のリスク |
矯正治療では通院を怠ってしまうと、歯ならびや咬み合わせが崩れてしまい治療期間が延びたり思うように良い結果が得られない可能性があります。 その他、歯肉退縮、顎関節症、歯根吸収、カリエス、失活歯、根の露出、歯周病があります。また、治療には個人差があります。あくまでご参考とお考え下さい。 |
